Screen Time Bisa Bikin Otak Menyusut—Ini Bukan Main-Main
Studi terbaru ungkap screen time 6+ jam/hari bisa mengecilkan grey matter otak dan tingkatkan risiko demensia hingga 2x lipat. Ini cara melindungi otakmu dari bahaya layar gadget.
Jujur aja deh, berapa jam sehari lo ngeliatin layar gadget?
Orang Amerika rata-rata menghabiskan sekitar tujuh jam sehari di depan perangkat mereka. Di Indonesia? Kemungkinan besar nggak jauh beda, bahkan bisa lebih lama kalau ditambah scrolling media sosial, nonton streaming, atau main game. Dan ternyata, kebiasaan ini bisa punya dampak kognitif yang... yah, lumayan serem kalau dipikir-pikir.
Sebuah studi terbaru menemukan bahwa screen time yang berlebihan ternyata bisa mengecilkan otak kita. Beneran. Ini bukan cuma soal mata lelah atau gangguan tidur—tapi soal struktur otak yang benar-benar menyusut.
DAFTAR ISI
- Apa yang Terjadi pada Otak Ketika Terlalu Lama di Depan Layar?
- Hubungan Mengerikan antara Screen Time dan Demensia
- IQ Menurun, Gangguan Mental Meningkat
- Langkah Ekstrem untuk Mencegah Penurunan Kognitif yang Ekstrem
- Screen Time di Indonesia: Konteks Lokal yang Perlu Diperhatikan
- Mulai dari Mana?
- Otak Kita Cuma Satu—Jaga Baik-Baik
- Daftar Referensi
Apa yang Terjadi pada Otak Ketika Terlalu Lama di Depan Layar?
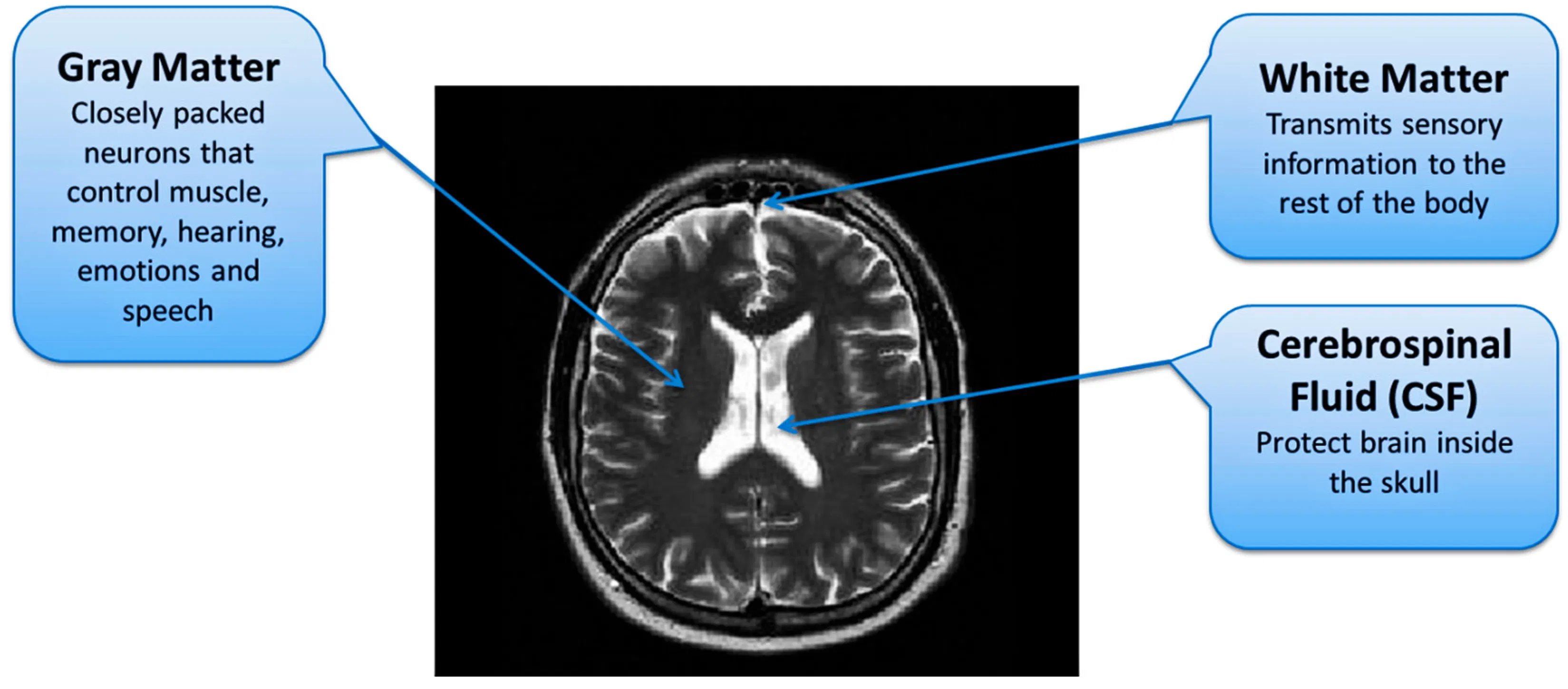
Grey Matter: Area Pemrosesan Informasi yang Terancam

Sebuah analisis menunjukkan bahwa screen time yang berlebihan—kita bicara soal enam jam atau lebih per hari—bisa menyebabkan penurunan grey matter di otak.
Nah, grey matter ini apa sih? Sederhananya, ini adalah bagian otak tempat pemrosesan informasi terjadi. Sekitar 40 persen otak kita terdiri dari grey matter, dan di sinilah sebagian besar struktur neuronal berada. Artinya, fungsi-fungsi otak yang paling penting berlangsung di sini.
Menurut Cleveland Clinic, grey matter adalah tempat di mana pemrosesan sensasi, persepsi, gerakan sukarela, pembelajaran, kemampuan berbicara, dan kognisi berlangsung. Bayangin aja—semua yang bikin kita bisa berpikir jernih, belajar hal baru, dan berkomunikasi dengan baik, semuanya bergantung pada grey matter yang sehat.
White Matter: Jalur Komunikasi Antar Bagian Otak
Studi yang sama juga menemukan bahwa terlalu banyak screen time mengurangi jumlah white matter, yaitu bagian otak tempat banyak komunikasi antar wilayah otak terjadi. White matter berwarna putih karena terbuat dari zat lemak bernama myelin yang membantu mempercepat komunikasi di seluruh otak.
Jadi bayangkan begini: grey matter itu seperti kantor-kantor yang memproses informasi, sementara white matter adalah jalan raya yang menghubungkan kantor-kantor itu. Kalau keduanya menyusut, ya otomatis kinerja otak jadi terganggu.
-
Pembuatan Aplikasi Berbasis Web Sistem Manajemen Sekolah
-
Jasa Pembuatan Aplikasi Smartphone (Gawai) Android OS
-
Jasa Pembuatan Website Joomla, Wordpress dan Web Dinamis Lain
-
Konversikan Situs Web ke Aplikasi Android Dengan WebViewGold
-
Jasa Pengelolaan Website Joomla, Wordpress, Hingga CMS Lainnya
Hubungan Mengerikan antara Screen Time dan Demensia

Bahkan kalau penjelasan teknis di atas belum cukup bikin ngeri, coba dengar ini: berkurangnya grey matter dikaitkan dengan demensia.
Studi yang disebutkan tadi menunjukkan kemungkinan adanya hubungan antara screen time berlebihan dengan perkembangan penyakit Alzheimer yang muncul lebih dini. CDC (Pusat Pengendalian dan Pencegahan Penyakit AS) bahkan memprediksi bahwa prevalensi demensia akan meningkat dua kali lipat pada generasi mendatang sebagai akibatnya.
Dua kali lipat, guys. Ini bukan angka yang bisa kita anggap enteng.
Di Indonesia sendiri, dengan penetrasi smartphone yang terus meningkat dan budaya digital yang makin masif—mulai dari anak-anak yang sudah pegang gadget, remaja yang scrolling berjam-jam, sampai orang dewasa yang kerjaannya di depan laptop—risiko ini perlu banget jadi perhatian serius.
IQ Menurun, Gangguan Mental Meningkat
Penelitian itu juga menunjukkan kemungkinan penurunan IQ dan peningkatan gangguan mental serta gangguan kognitif akibat terlalu banyak screen time.
Studi-studi terbaru menunjukkan fenomena serupa pada orang-orang yang terlalu bergantung pada chatbot AI. Layar benar-benar mengecilkan otak kita dan—jujur aja—bikin kita jadi lebih bodoh.
Ini bukan soal judging atau menghakimi gaya hidup digital. Ini soal fakta ilmiah yang perlu kita pahami biar bisa ambil tindakan yang tepat.
-
Nikmati fitur lengkap dari aplikasi favorit kamu tanpa ribet. Langganan aman dan cepat lewat link ini
-
Domain, Hosting, Hingga VPS Murah untuk Proyek Anda
-
Berbisnis halal bikin hati tenang. Cek caranya disini!
-
Tingkatkan SEO Website Dengan Ribuan Weblink Bebagai Topik!
-
Mau Hemat Biaya Transfer Antar Bank dan Isi Saldo e-Wallet?
Langkah Ekstrem untuk Mencegah Penurunan Kognitif yang Ekstrem
Kalau ada kemungkinan—bahkan sekecil apa pun—bahwa layar gadget bisa meningkatkan risiko terkena demensia atau kehilangan sebagian kemampuan kognitif, kenapa nggak kita ambil langkah tegas untuk membatasi screen time?
Ini bukan tentang paranoia berlebihan. Ini tentang melindungi aset paling berharga yang kita punya: otak dan kemampuan berpikir kita.
Tinggalkan Media Sosial (atau Minimal Kurangi Drastis)

Salah satu cara paling efektif untuk mengurangi screen time adalah dengan meninggalkan media sosial. Orang Amerika menghabiskan sekitar 2,5 jam scrolling feed media sosial. Di Indonesia? Bisa jadi lebih banyak lagi, mengingat betapa populernya Instagram, TikTok, Twitter (atau X), dan Facebook di sini.
Meninggalkan platform-platform ini sepenuhnya kemungkinan besar akan mengurangi total screen time secara signifikan.
Beberapa orang bilang mereka butuh media sosial untuk kerja atau untuk tetap terhubung dengan teman dan keluarga yang jauh. Tapi coba kita tantang kedua alasan itu.
Kalau butuh medsos untuk bisnis, coba hapus aplikasinya dari ponsel. Lakukan sebagian besar posting dari komputer dan usahakan untuk mengotomatiskannya tanpa perlu ngecek setiap saat. Jadwalkan waktu khusus untuk "urusan medsos kerja" dan setelah itu tinggalkan.
Kalau pakai medsos untuk tetap terhubung dengan teman dan keluarga, kenapa nggak minta nomor telepon mereka dan mulai kirim pesan langsung aja? WhatsApp, Telegram, atau bahkan SMS biasa jauh lebih personal dan nggak bikin kita terjebak dalam scrolling tanpa akhir.
Ada banyak orang yang sudah setahun lebih tanpa media sosial dan sama sekali nggak merindukan platform-platform itu. Hidup jadi lebih tenang, fokus meningkat, dan waktu bisa dipakai untuk hal-hal yang lebih bermakna.
Kalau merasa going full turkey (berhenti total) terlalu berat sekarang, coba nonaktifkan akun sementara dulu. Rasakan bedanya.
Tinggalkan Smartphone Sama Sekali (Seriously!)

Kalau ingin mengurangi screen time lebih drastis lagi, pertimbangkan untuk beralih dari smartphone ke ponsel lipat atau "dumbphone" yang nggak memungkinkan instalasi aplikasi.
Kedengarannya ekstrem? Iya. Tapi demensia, gangguan kognitif, dan gangguan mental juga masalah yang ekstrem.
Di Indonesia, mungkin ini terdengar agak mustahil karena banyak hal sekarang bergantung pada aplikasi—mulai dari e-wallet, transportasi online, sampai aplikasi kantor. Tapi coba pikirkan: apa benar semua itu harus ada di genggaman 24/7?
Beberapa alternatif yang bisa dicoba:
- Gunakan smartphone hanya untuk hal-hal esensial, dan simpan di tempat yang nggak gampang dijangkau
- Gunakan laptop atau komputer untuk urusan yang butuh aplikasi tertentu
- Kembali ke metode lama untuk beberapa hal: peta fisik, jam tangan analog, kamera digital terpisah
Memang butuh penyesuaian, tapi kesehatan otak jauh lebih penting daripada kenyamanan sesaat.
Screen Time di Indonesia: Konteks Lokal yang Perlu Diperhatikan
Di Indonesia, penggunaan gadget punya dinamika tersendiri.
Anak-anak sekolah sudah terbiasa belajar online sejak pandemi—dan bahkan setelahnya, banyak sekolah yang masih mengandalkan platform digital. Pekerja kantoran menghabiskan delapan jam kerja di depan laptop, lalu pulang dan lanjut scrolling di ponsel. Ibu rumah tangga pun ternyata nggak kalah—antara nonton drakor, scrolling resep masakan, sampai ikutan grup arisan online.
Belum lagi budaya "ngonten" yang makin marak. Dari yang bikin konten sampai yang cuma jadi penonton setia, semuanya butuh screen time yang nggak sedikit.
Ini semua bikin risiko penyusutan otak makin nyata. Dan yang bahaya, kebanyakan orang nggak sadar kalau mereka sudah masuk zona berbahaya—enam jam atau lebih per hari.
Mulai dari Mana?
Kalau kamu merasa overwhelmed dengan semua informasi ini, itu wajar. Tapi jangan sampai jadi alasan untuk nggak berbuat apa-apa.
Mulai dari langkah kecil:
Cek screen time harian kamu. iPhone punya fitur Screen Time, Android punya Digital Wellbeing. Lihat angkanya. Mungkin kamu akan kaget.
Tetapkan batas. Mulai dengan target yang realistis. Kalau sekarang kamu nge-screen 10 jam sehari, targetkan turun jadi 8 jam dulu. Terus turunkan lagi secara bertahap.
Ganti kebiasaan digital dengan aktivitas fisik. Alih-alih scrolling sebelum tidur, coba baca buku fisik. Alih-alih nonton YouTube saat sarapan, coba dengerin musik atau podcast sambil jalan pagi.
Aktifkan mode greyscale. Layar hitam-putih jauh kurang menarik daripada layar berwarna. Ini bisa bantu mengurangi keinginan untuk berlama-lama di depan layar.
Tentukan zona bebas gadget. Misalnya kamar tidur, meja makan, atau toilet. Kembalikan momen-momen itu untuk istirahat, interaksi nyata, atau sekadar melamun.
Otak Kita Cuma Satu—Jaga Baik-Baik
Kita cuma punya satu otak. Dan sekali rusak, nggak ada yang bisa kembalikan seperti semula.
Screen time yang berlebihan bukan cuma bikin mata lelah atau leher pegal. Ini soal struktur otak yang menyusut, risiko demensia yang meningkat, dan kemampuan kognitif yang menurun.
Kita hidup di era digital, dan memang nggak mungkin sepenuhnya lepas dari layar. Tapi kita bisa—dan harus—punya kontrol atas seberapa banyak kita terpapar.
Jangan sampai satu dekade ke depan, kita nyesal kenapa nggak dari sekarang mulai lebih aware. Kesehatan mental dan kognitif kita bergantung pada pilihan-pilihan kecil yang kita buat hari ini.
Jadi, mau mulai dari mana?
Daftar Referensi
- Cleveland Clinic. (2023, March 19). Grey Matter. Cleveland Clinic; Cleveland Clinic.
- Manwell, L. A., Tadros, M., Ciccarelli, T. M., & Eikelboom, R. (2022). Digital dementia in the internet generation: excessive screen time during brain development will increase the risk of Alzheimer’s disease and related dementias in adulthood. Journal of Integrative Neuroscience, 21(1), 028.
- Nataliya Kos'myna. (2025, June 10). Your Brain on ChatGPT: Accumulation of Cognitive Debt when Using an AI Assistant for Essay Writing Task – MIT Media Lab. MIT Media Lab.
Artikel ini diadaptasi dari tulisan Clay Drinko, Ph.D., yang direview oleh Davia Sills dan dipublikasikan di Psychology Today pada 23 Januari 2026.
Tebejowo.com didukung oleh pembaca. Kami mungkin memperoleh komisi afiliasi ketika Anda membeli melalui tautan di situs web kami. Untuk kolaborasi, sponsorship, hingga kerjasama, bisa menghubungi: 0857-1587-2597.
Ikuti juga kami di Google News untuk mendapatkan notifikasi artikel terbaru dari gawai Anda.


















